Smile Gallery


Before


Chipped and uneven anterior teeth.
Photo of a patient before treatment at Prosthodontic Associates of Long Island

After


Restored with all ceramic crown and veneer restorations.
Photo of a patient after treatment at Prosthodontic Associates of Long Island


Before


Severely crowded and shifted upper and lower teeth.
Photo of a patient before treatment at Prosthodontic Associates of Long Island

After


Restored and realigned with all ceramic crowns.
Photo of a patient after treatment at Prosthodontic Associates of Long Island


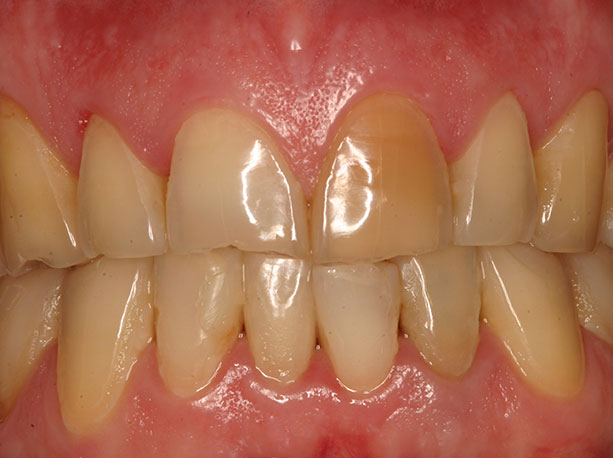
Before


Mismatched crowns and worn translucent teeth
Photo of a patient before treatment at Prosthodontic Associates of Long Island

After


Restored with all ceramic crowns and veneers.
Photo of a patient after treatment at Prosthodontic Associates of Long Island


Before


Congenitally missing incisors
Photo of a patient before treatment at Prosthodontic Associates of Long Island

After


Restored with all ceramic bridges
Photo of a patient after treatment at Prosthodontic Associates of Long Island


Before


Worn edges and discolored anterior teeth.
Photo of a patient before treatment at Prosthodontic Associates of Long Island

After


Restored with all ceramic veneers
Photo of a patient after treatment at Prosthodontic Associates of Long Island


Before


Worn cracked edges.
Photo of a patient before treatment at Prosthodontic Associates of Long Island

After


Aesthetic recontouring.
Photo of a patient after treatment at Prosthodontic Associates of Long Island
Copyright © 2019-2026 Prosthodontic Associates of Long Island and WEO Media - Dental Marketing (Touchpoint Communications LLC). All rights reserved.  Sitemap | Login
Prosthodontic Associates of Long Island, 1 Hollow Lane, #202, Lake Success, NY 11042 + 516-627-0999 + papcli.com + 2/23/2026 + Related Phrases: Prosthodontist NY +